我院胸痛中心一晚接连抢救3名急性心梗患者
油田总医院胸痛中心一个晚上接连抢救3名急性心梗患者,并成功开通堵塞血管。
心肌梗死是急性心血管疾病,多以胸痛胸闷为主要表现,变化快且死亡率高,预后差。总医院胸痛中心以缩短患者总缺血时间为主要目的,通过急救系统、急诊科、心内科、影像科等多学科的合作,优化资源利用,对急性胸痛患者进行早期诊断、危险分层及分类治疗,从而提高救治效率、改善预后并节约医疗资源。
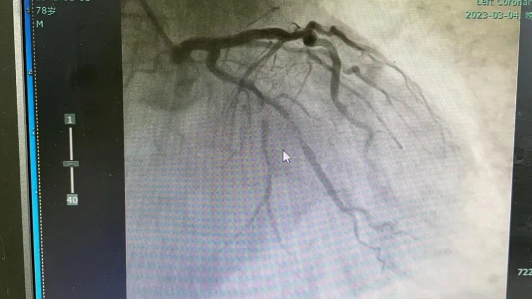
3月4号晚,总医院一个不平凡之夜。19点44分,急诊科汪小卫医生在胸痛中心微信群发送了一条信息:患者程某心电图检查结果。心内科副主任何涛马上回复:患者确诊为急性下壁ST段抬高型心肌梗塞并一键启动导管室,医生熊俊锋、导管室张梅梅立即奔赴导管室穿好铅衣备好急救药品物品,打开除颤仪做好手术准备。19点54分,激活导管室。20点08分患者被送入导管室快速实施冠脉造影,显示患者右冠近段粥样硬化伴“瘤样扩张”,中段发生完全闭塞。结合心电图考虑堵塞血管为右冠,于20点27分成功开通堵塞血管。患者从医院大门到开通血管仅50分钟,大大缩短心肌获得灌注时间,心功能基本不受影响。 术中险象环生,患者心率进行性下降,血压反复异常,经医护人员的及时救治,患者转危为安被安全护送回病房。术前、术后图片如下


晚上21点15分,胸痛中心再次接到心内科病房胸痛患者王某的呼叫:高敏肌钙蛋白升高(提示心肌受损)。胸痛中心团队会诊后确诊急性心肌梗死,立即制定急诊冠脉介入治疗方案,并迅速启动导管室,成功完成血运重建,患者胸痛缓解。22点50分返回病房。
晚22点40分,胸痛中心的手术还在进行中,急诊科又打来电话告知患者张某胸痛、头痛3小时,高敏肌钙蛋白异常。
术前、术后图片如下


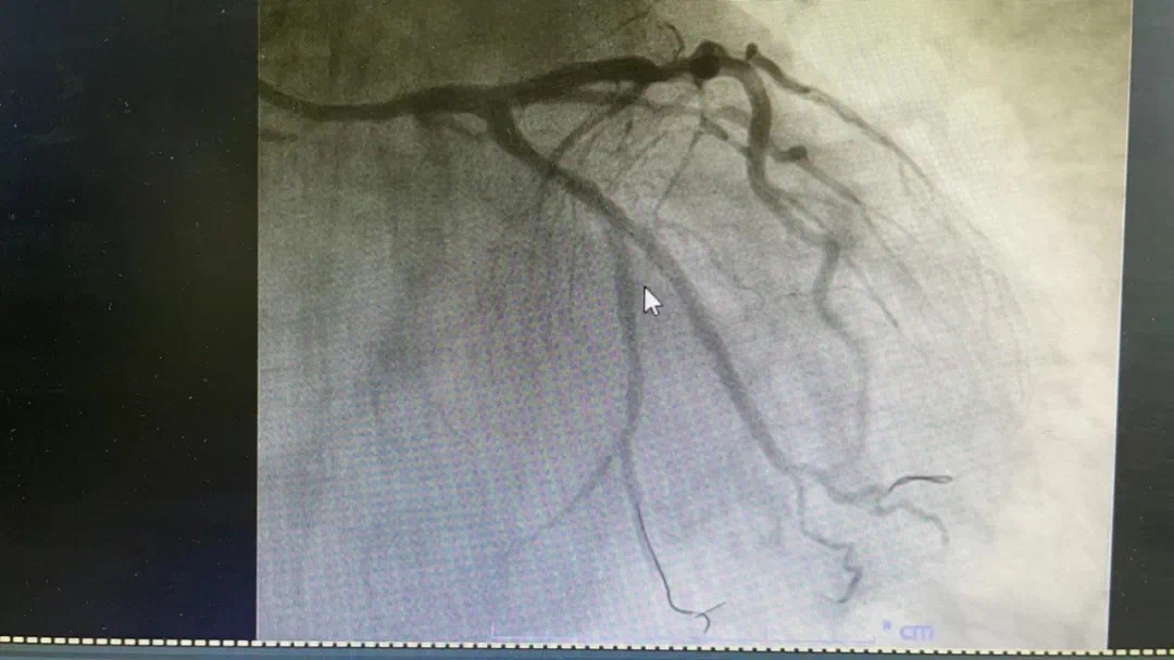
副主任何涛、医师熊俊锋、护士张梅梅顾不上休息,立刻投入到第三次抢救中。胸痛中心团队心内科与急诊科无缝衔接,23点26分在导管室开通堵塞血管,又成功救治一名急性心肌梗死患者。患者张某送至导管室施行急诊冠脉介入治疗,经过快速的术前准备,以mini Crush术式于回旋支远段植入波科冠脉支架一枚,再于钝缘支中段至回旋支中段植入Firebird2冠脉支架一枚。患者症状大幅缓解。零点42分手术结束,复查患者血压、心率正常后将患者送回病房。
术前、术后图片如下


3台急诊手术结束后已是凌晨1点了,此时此刻十几斤的铅衣穿在医护人员身上5个多小时,汗水湿透了全身。医护人员没有时间喝水,没有时间上厕所,体力透支和精神高度集中的情况下显得非常疲惫。整个晚上3名心梗患者没有错过黄金救治时间,生命得到及时救治。
副主任何涛查看病人术后第一天:


我院胸痛中心是救死扶伤、博爱至善、心系病人、仁心仁术、精益求精的优秀团队。






