油田总医院专家成功救治噬血细胞综合征患者
近日,油田总医院多学科协同合作,成功救治一名噬血细胞综合征患者。该患者因食物反应引起特殊细菌感染,进而诱发了噬血细胞综合征这一少见病。经过消化内科熊首先主任、神经内科吴明辉主任、呼吸与危重症医学科张克强主任、内分泌与肾病科陈立全主任、重症医学科曹鄂斌主任等多名专家协作,迅速找出病因并对症下药,抓住了治疗的最佳时机,收到良好效果。11月26日该患者各项指标恢复正常,顺利出院。
11月6日晚,患者朱先生因为发烧、寒颤、腹泻、乏力等原因住进油田总医院消化内科。据朱先生讲,三天前吃了些海鱼,第二天就出现了前面的症状,开始以为只是吃坏了肚子,没想到三天后病情不但没有缓解,反倒加重了,还一直高烧不退。
朱先生下午入院,晚上七点十分复查体温38.1℃,血压110/60mmHg,经过物理降温,到了晚上八点半体温不降反而升到了39.8℃,血压78/46 mmHg,血压骤降为休克血压,当班医生聂秀秀考虑患者随时可能出现感染性休克,立即采取抢救措施,并向熊首先主任汇报。当晚,接到电话的熊主任冒雨快速从家中赶往科室。详细了解了朱先生的病情后,立即联系血液内科医生夏志宏、ICU张晚来医生急会诊。对症治疗后,患者的情况有所好转。此时已是凌晨一点。
那么,是什么原因导致的朱先生病情如此危重?
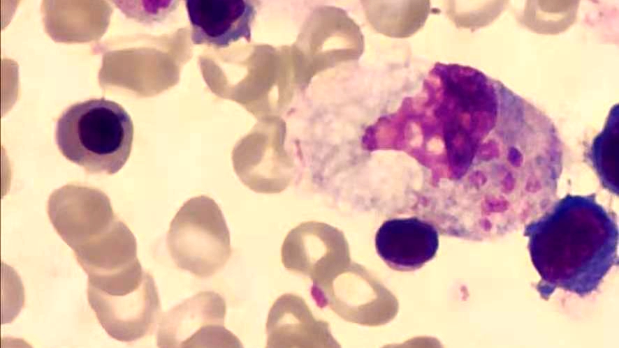
熊主任凭借多年临床经验、专业知识积累及查阅文献等,认为患者血常规三系低,高血清铁蛋白,彩超显示患者脾肿大,肝功能受损,结合患者自述和实验室检查结果,很有可能是严重感染导致的噬血细胞综合征(HLH),他建议立即完善骨穿、骨髓活检及相关检查。通过检验医学科主管技师郑欣完成的骨髓细胞学检验,发现了典型细胞(嗜血细胞),在关键时刻为临床找到突破口。

典型细胞(嗜血细胞)
第二天清早一上班,熊主任立刻向医务部请示,召开了全院多科室专家疑难危重病例讨论。副院长廖新标、吴明辉主任、陈立全主任、张克强主任及检验医学科主管技师郑欣等前来会诊。

廖院长带领专家查房
专家经过讨论,同样高度怀疑噬血细胞综合征。为进一步明确诊断,还通过远程联系到了武汉协和医院血液研究所专家。治疗期间患者的白细胞、血红蛋白、血小板数值急速下降,熊首先主任根据《噬血细胞综合征诊治中国专家共识(2018)》指南立即给予相应治疗。在护理危重患者方面,消化内科护理团队同样表现出色。
朱先生入院治疗二十天后,身体各项指标逐渐恢复正常,入院时的症状完全消失,其家属也向记者表示:现在完全看不出来了,和正常人一样,不像刚来的时候,脸上一点血色都没有,人也没精神。

11月26日,朱先生出院前与所在科室医护合影,以示感谢。
噬血细胞综合征是血液系统的一种少见病,该病起病急,患者死亡率高,且因临床病例少,用药剂量难以把控,对于有效救治有着很大的挑战。患者朱先生发病后,在油田总医院入院三日内确诊并得到有效治疗,也体现了该院在救治疑难危重患者方面的综合实力和水平。






