“甜蜜”的视力杀手--糖尿病视网膜病变
什么是糖尿病视网膜病变,它是如何产生的
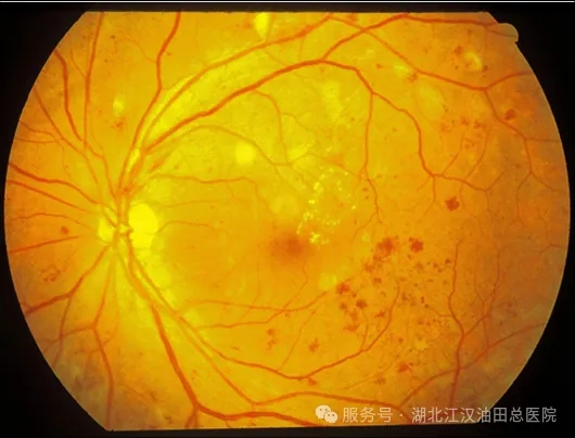
糖尿病视网膜病变(Diabetic Retinopathy, DR)是糖尿病常见的微血管并发症之一。它是由于长期高血糖导致视网膜血管结构及功能异常,进而引发视网膜组织出现损伤,最终影响视力。

糖尿病视网膜病变的症状与危害
糖尿病视网膜病变的早期通常无明显症状,但随着病情发展,可能出现以下表现:
1. 视力模糊:血糖波动导致视网膜水肿,影响视力。
2. 视野缺损:视网膜出血或血管异常可能引发视野部分缺失。
3. 飞蚊症:眼前出现黑点或漂浮物,可能是玻璃体出血。
4. 夜视困难:夜间或光线不足时视力下降。
5. 色觉异常:颜色辨别能力减弱。
6. 突发失明:严重时,视网膜大量出血或脱离可导致突然失明。
糖尿病视网膜病变的治疗方法有哪些
糖尿病视网膜病变的治疗方案取决于病变的严重程度。常见的治疗方法包括:
1 控制血糖:糖尿病视网膜病变的最有效预防和治疗方法是控制血糖。患者应保持血糖在正常范围内,定期监测血糖水平,遵循医生的治疗方案。
2 激光治疗:对于中重度的糖尿病视网膜病变,激光治疗是一种常用的治疗方法。激光可以帮助封闭漏血的血管,防止出血和视网膜脱落。
3 抗VEGF药物:对于黄斑水肿或新生血管增生的患者,抗VEGF(血管内皮生长因子)药物注射可以有效减少水肿并抑制新生血管的生长。
4 玻璃体切除术:对于严重出血或视网膜脱落的患者,玻璃体切除手术可能是必要的,通过去除玻璃体内的血液,恢复视网膜的正常功能。
湖北江汉油田总医院眼科是湖北省省级重点专科,为不同时期糖尿病视网膜病变患者提供个性化治疗方案,2024年全年度已累计治疗143例。
眼科专家介绍

方玉华
眼科主任 主任医师
门诊时间 周一上午
专业擅长擅长白内障、青光眼、角膜病、眼底病以及眼科疑难病的诊断和治疗,有较丰富的临床经验

刘沉
眼科副主任 副主任医师
门诊时间 周三上午
专业擅长擅长白内障、青光眼、角膜病、眼底病以及眼科疑难病的诊断和治疗,特别是视网膜脱离、视神经疾病及儿童斜弱视有较造诣

高天 副主任医师
门诊时间 周二上午
专业擅长
擅长对眼科常见病,多发病的诊断和治疗有丰富的临床经验,尤其擅长儿童及青少年远视,近视,弱视的诊断和治疗

张安 副主任医师
门诊时间 周四上午
专业擅长擅长斜视的诊断和治疗;青光眼、眼底的诊断和治疗;眼底血管造影检查;白内障的诊断和治疗;眼表疾病的的诊断和治疗

门诊时间 周五上午
专业擅长擅长白内障、青光眼、眼底疾病等疾病的诊断与治疗,对后发障YAG激光切开手术、虹膜激光打孔术及视网膜激光光凝术等激光治疗有丰富的临床经验。
撰稿:孙勤锐
编审:朱美岳






