一颗枣核引发的健康危机——警惕饮食安全,守护家人健康
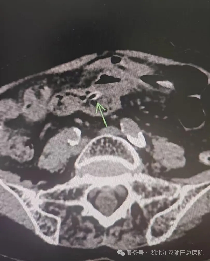
2月12号元宵夜,一位老年患者因右下腹痛急来我院就诊,经过我院普外科医生询问了解到患者近期食用过大枣,建议腹部CT检查,检查发现病因为异物刺破肠道引起穿孔伴腹膜炎,急诊手术也证实为枣核穿孔,术后恢复良好并顺利出院。这一案例为所有人敲响警钟:小小枣核,暗藏隐患,饮食安全切莫大意!
枣核图片

枣核为何如此危险?
枣核两端尖锐,质地坚硬,进入消化道后可能划伤食道、胃壁或肠道。老年人因肠道蠕动减缓、黏膜较脆弱,更易被异物损伤。若未能及时处理,可能导致胃肠穿孔、腹膜炎、感染性休克等严重后果,甚至危及生命。
医生提醒:预防胜于治疗!
1.食用大枣前务必去核:建议购买无核大枣,或自行剔除枣核后再食用。
2.细嚼慢咽,专注进食:避免边吃边说话、大笑,尤其老人、儿童进食需有人看护。
3.误吞异物后切勿盲目处理:若误吞枣核、鱼刺等尖锐物,应立即停止进食,避免催吐或吞服食物强行下压,第一时间就医检查。
4.警惕隐蔽症状:若误吞后出现持续腹痛、腹胀、发热等症状,需警惕肠道损伤,务必及时就诊。
案例警示:食品安全无小事
一颗枣核、一根鱼刺、一粒果核……看似微小的饮食细节,却可能酿成健康危机。尤其对消化功能较弱的老人与儿童,家人更需提高警惕,做到:
1.高风险食物预处理(如去核、去骨、切小块);
2.用餐时细心照看,避免分心;
3.学习急救知识,发生意外时科学应对;
4.提高依从性,遵医嘱完善检查,减少误诊、漏诊;
5.学习医学常识,健康你我他和她。
健康倡议
食品安全关乎生命,莫让“意外”变“悲剧”,请转发提醒身边人,尤其是家中有老人、孩子的家庭,共同守护“舌尖上的安全”。
撰稿:董浩
编审:朱美岳






